脑肿瘤图片
你有没有想过,当你打开电脑或手机,浏览网页时,那些神秘的脑肿瘤图片究竟是什么样子呢?今天,就让我带你一起揭开这些神秘面纱,从多个角度来探索这些令人敬畏的医学影像。
一、脑肿瘤的起源

首先,让我们来了解一下什么是脑肿瘤。脑肿瘤是指发生在脑部或神经组织的异常细胞群。这些细胞不受正常生长控制,可能会形成肿块,压迫周围组织,影响脑功能。据统计,全球每年约有50万人被诊断出患有脑肿瘤。
二、脑肿瘤的类型

脑肿瘤可以分为良性和恶性两大类。良性肿瘤生长缓慢,边界清晰,通常不会侵犯周围组织。而恶性肿瘤则生长迅速,边界模糊,容易侵犯周围组织,甚至转移到其他部位。
1. 良性脑肿瘤:如脑膜瘤、垂体腺瘤、神经纤维瘤等。
2. 恶性脑肿瘤:如胶质瘤、脑转移瘤等。

三、脑肿瘤的发现
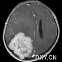
那么,脑肿瘤是如何被发现的呢?答案是——脑肿瘤图片。医生通过观察这些图片,可以初步判断肿瘤的类型、大小、位置等信息。
1. CT扫描:CT扫描是一种常见的影像学检查方法,可以清晰地显示肿瘤的位置、大小和形态。
2. MRI扫描:MRI扫描可以提供更详细的图像,有助于判断肿瘤的性质和周围组织的受累情况。
四、脑肿瘤图片的解读
接下来,让我们一起来解读一下这些脑肿瘤图片。
1. 肿瘤的形态:良性肿瘤通常呈圆形或椭圆形,边界清晰;而恶性肿瘤则形态不规则,边界模糊。
2. 肿瘤的大小:肿瘤的大小可以反映其生长速度和恶性程度。
3. 肿瘤的位置:肿瘤的位置可以影响其症状和治疗效果。
4. 肿瘤的密度:肿瘤的密度可以反映其成分,有助于判断肿瘤的性质。
五、脑肿瘤的治疗
了解了脑肿瘤的类型和特点后,我们再来了解一下脑肿瘤的治疗方法。
1. 手术治疗:手术是治疗脑肿瘤的主要方法,通过手术切除肿瘤,减轻症状,提高生活质量。
2. 放疗:放疗是利用高能量射线杀死肿瘤细胞的一种治疗方法,适用于无法手术切除或术后复发的患者。
3. 化疗:化疗是使用药物抑制肿瘤细胞生长和分裂的一种治疗方法,适用于恶性肿瘤患者。
通过以上五个方面的介绍,相信你对脑肿瘤图片有了更深入的了解。这些神秘的医学影像,背后隐藏着无数患者的痛苦和希望。希望我们今天的探索,能让你对脑肿瘤有更全面的了解,为那些正在与脑肿瘤抗争的人们带来一丝希望。
您可以还会对下面的文章感兴趣:
暂无相关文章